Ortodoncja
Ortodoncja w Demed Warszawa Praga
Centrum Demed posiada szerokie usługi z zakresu ortodoncji. Nasi doświadczeni lekarze leczą wady zgryzu oraz korygują nieprawidłowości zębowe. Zajmują się nie tylko diagnozą i leczeniem, ale także profilaktyką.
Za przystępną cenę zapewniamy usługi na najwyższym poziomie. Dokładamy wszelkich starań, by każdy pacjent zakończył leczenie w jak najkrótszym czasie z pięknym uśmiechem i to w przystępnej cenie.
Leczenie odbywa się przy użyciu różnych metod:
- aparat stały;
- aparat samoligaturujący;
- aparat estetyczny;
- aparat kryształowy;
- niewidoczny Clear Aligner;
- aparat ruchomy;
- aparat Lip Bumper;
- GMD;
- łuk Goshgariana;
- aparat pendulum;
- aparat Twin-Block;
- Rotator Expander;
- aparat typu Hyrax, Haasa.
Etapy leczenia:
1. Wizyta konsultacyjna
Pierwszym krokiem jest wykonanie zdjęć RTG- pantomograficznego oraz cefalometrycznego. Należy zabrać je ze sobą na wizytę w celu ustalenia dokładnej diagnozy.
2. Wyciski
Jeśli zęby nie mają żadnych ubytków próchnicowych, jest wybrana forma leczenia i pacjent jest zdecydowany na założenie aparatu wykonujemy modele diagnostyczne.
3. Plan leczenia
Lekarz po wybraniu wraz z pacjentem odpowiedniej metody leczenia opracowuje plan leczenia, w którym uwzględnia szacowany czas oraz przewidziane koszty.
4. Montaż aparatu
Trwa on około 1 godziny. Tuż po założeniu aparatu nalezy przestrzegać wszystkich zaleceń lekarza, by okres leczenia trwał jak najkrócej i przebiegał bez żadnych komplikacji.
5. Wizyty kontrolne
Należy regularnie stawiać się na wyznaczone przez prowadzącego ortodontę kontrole.
Zapisz się na wizytę konsultacyjną, podczas której lekarz opracuje indywidualny plan leczenia dostosowany do wady Twojego zgryzu. Nie pozwól, by wada się pogłębiała i zgłoś się do nas jak najszybciej. Czas działa na Twoją niekorzyść. Zaufaj naszemu wieloletniemu doświadczeniu i ciesz się pięknym i zdrowym uśmiechem. Zapraszamy!
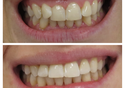
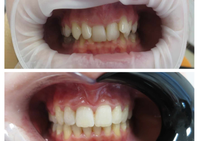
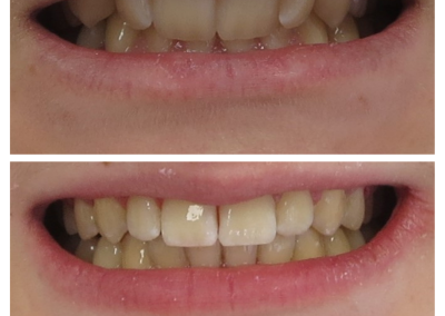
Metamorfozy naszych pacjentów po leczeniu ortodontycznym
Pozostałe placówki Demed:
Standardy ochrony małoletnich
Standardy ochrony małoletnich
Promocja implant z koroną 4990 zł
Chcesz mieć piękny uśmiech? Z nami jest to możliwe! Posiadamy ogromne doświadczenie w dziedzinie implantologii. Pracujemy na implantach sprawdzonych systemów. Przedstawiamy promocję na prostych zasadach. Wystarczy umówić się na konsultację z naszym specjalistą....