Protetyka Warszawa Praga
Protetyk w Demed Praga
W Demed troszczymy się o Pacjentów w każdym wieku, dlatego też oferujemy szerokie usługi protetyczne. Lekarz protetyk zajmie się brakiem zębowym, przedstawiając różne warianty leczenia.
Wykonujemy między innymi:
- protezy akrylowe, szkieletowe na metalu i na acetalu, nylonowe, natryskowe (bezbarwne);
- korony porcelanowe na metalu i na cyrkonie;
- korony pełnoceramiczne oraz w systemie LAVA;
- mosty porcelanowe na metalu i na cyrkonie a także pełnoceramiczne oraz w systemie LAVA;
- licówki kompozytowe, porcelanowe i ultracienkie licówki;
- odbudowy porcelanowe zębów typu inlay, onlay;
- protetyka (korony, mosty) na implantach zębów.
Dbamy o najwyższy poziom usług zachowując przystępność cen i indywidualne podejście do Pacjenta.
Protetyka Warszawa Praga Demed to miejsce również dla Ciebie, jeśli potrzebujesz uzupełnić braki zębowe, czy poprawić wygląd swoich zębów. Nasi protetycy, ściśle współpracują z innymi specjalistami, aby uzyskać jak najzdrowszy i najpiękniejszy uśmiech. Podczas wizyty uzyskasz kilka wariantów leczenia, wspólnie z lekarzem wybierzecie najlepsze rozwiązanie dla Ciebie i twoich zębów. Zapraszamy na wizytę konsultacyjną!
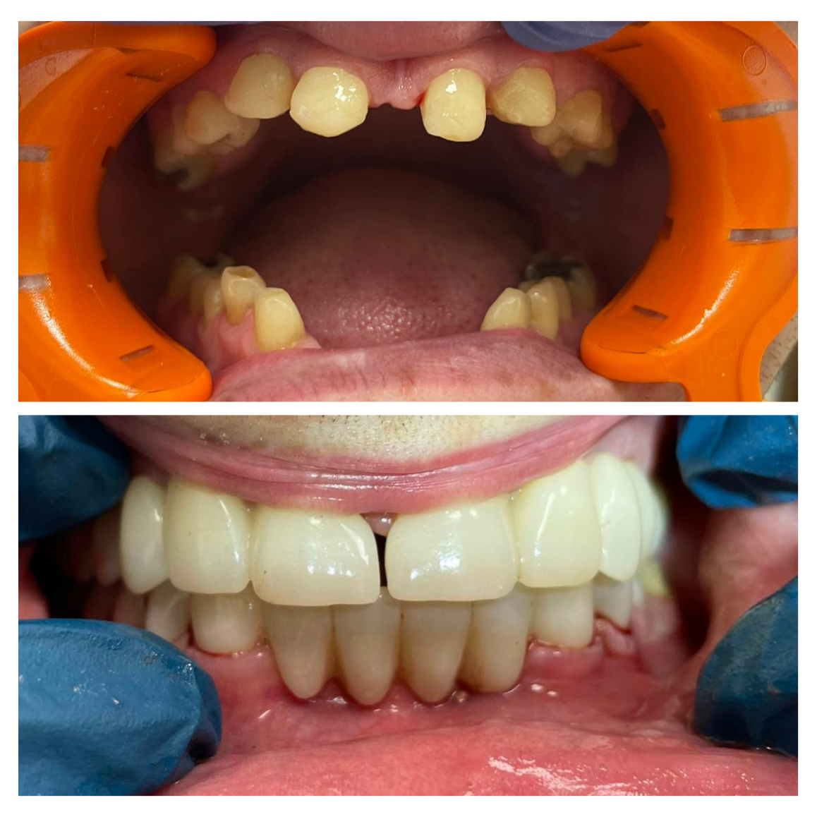
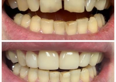
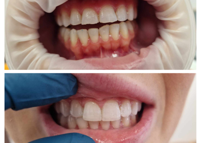
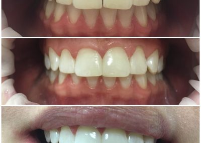
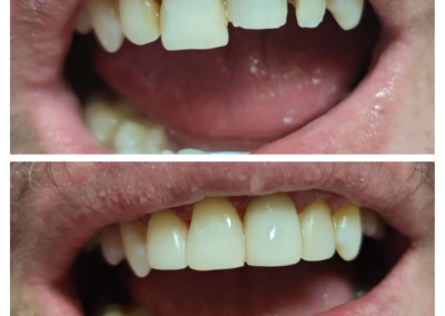
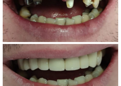
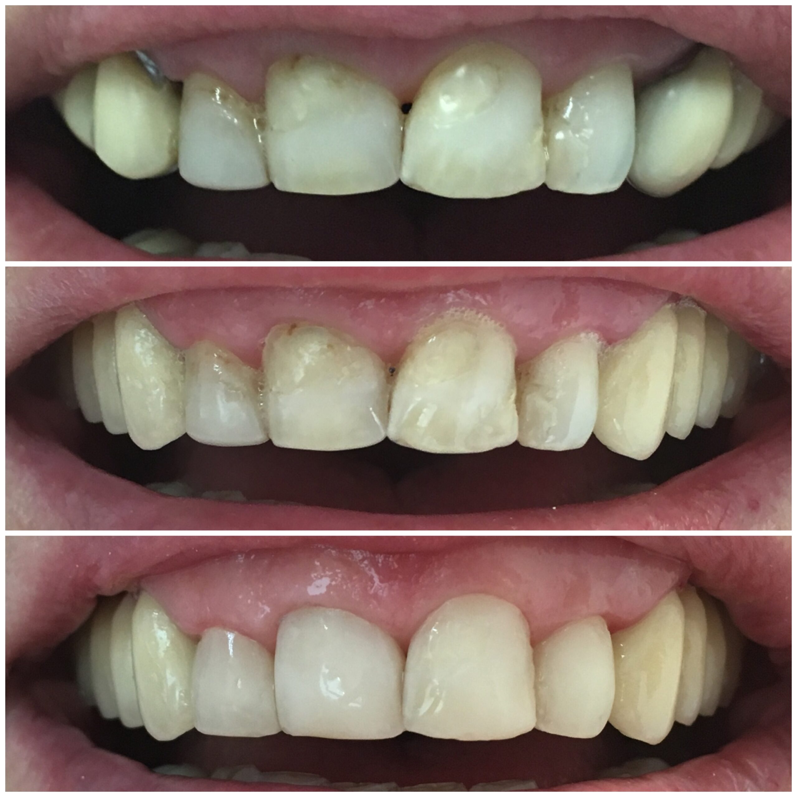
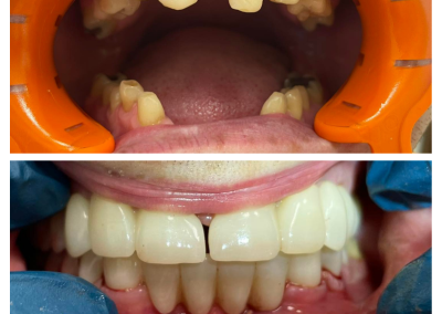
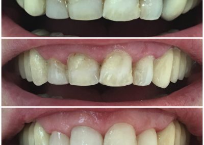
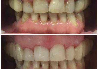
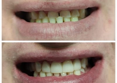
Metamorfozy naszych pacjentów po leczeniu protetycznym
Pozostałe placówki Demed:
Standardy ochrony małoletnich
Standardy ochrony małoletnich
Promocja implant z koroną 4990 zł
Chcesz mieć piękny uśmiech? Z nami jest to możliwe! Posiadamy ogromne doświadczenie w dziedzinie implantologii. Pracujemy na implantach sprawdzonych systemów. Przedstawiamy promocję na prostych zasadach. Wystarczy umówić się na konsultację z naszym specjalistą....